定期的に歯科医院で、クリーニングや歯石除去を受けると、悪くなるたびに歯医者へ通うよりも、治療費がかさまないで済むと言われています。目に見えない細菌や歯石は、普段の歯磨きでは除去できません。歯科医院の専用の機械的な器具で除去してもらう必要があります。
PMTC・歯のクリーニング

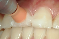
▲PMTCのラバーカップ
専用のラバー製のカップやチップで、歯のバイオフィルム(ネバネバの細菌)を機械的に除去します。
予防だけでなく、歯をツルツルにしたいという方や、歯の黄ばみや着色の除去を希望でお受けになられる方も増えてきています。
歯石除去(スケーリング)

▲上顎の歯石除去
専用のかぎ状の器具「スケーラー」で、歯にこびりついた歯石を除去していきます。当院ではエアフローマスターピエゾン700という機械を使った超音波スケーラーで歯石を除去していきます。
詳しくは「痛みに優しいクリーニング・歯石除去」のページをご覧ください。
本人は普段磨けていると思っていても、磨きにくい場所には目に見えない歯石が案外付いていたりします。
歯石のひどい方は、歯石を取ると歯ぐきに出血が見られる場合がありますが、それは歯ぐきが歯石で炎症を起こしていたために起こります。健康な歯ぐきは出血を起こしません。



